dental implant

How a Dental Implant Can Fix Your Front Teeth

April 28th, 2016

How a Dental Implant Can Fix Your Front TeethWhether you’ve lost your front teeth due to an injury or an oral disease, dental implants can give you your full smile back again. Dental implants are the best solutions available for missing teeth. Not only do they look just like your natural teeth, but they also keep you from developing other serious oral issues that come with missing your front teeth. Let’s take a look at how exactly a dental implant can fix your front teeth now.

What’s Wrong With Having a Missing Front Tooth?

Missing one or both of your front teeth isn’t the best look in the world and you can’t really hide a missing front tooth. If that’s not enough to get you to fix your dental problem, there are other serious health issues that come along with missing a tooth as well.
If you don’t replace a missing tooth or teeth with an implant, and instead choose removable dentures or no fix at all, you may experience issues with eating, pain and jawbone loss. Since you’re missing a tooth, you will likely not be able to eat normally, and may experience pain from your exposed gum. Even more serious, you may lose jawbone volume. Implants are the only restorative dental solution that stops jawbone loss by allowing your bone to grow tightly around the implant.
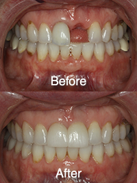
Before and After Dental Implant Front Tooth

How Exactly Do Dental Implants Help With Missing Front Teeth?

Dental implants help in a variety of ways. Here are just a few of the most common ways a dental implant can benefit your mouth if you’re missing a front tooth:

  • They creating a replica of your missing tooth that looks and acts just like your natural teeth. Implants are strong, stable and last for a lifetime.
  • While other treatments don’t fuse with your jawbone, osseointegration (fusing) occurs between your dental implants and your jawbone so that your bone tissue grows tightly around your implant.
  • They provide you with a healthy and normal bite.
  • Dental implants can’t develop cavities like normal teeth. But you still need to clean and take care of implants just like you would your natural teeth.

What’s the Dental Implant Procedure Like?

If you’re getting a front tooth implant at Water Tower Dental Care, you will typically be treated in our office and be placed under local anesthesia or another kind of sedation. The dental implant procedure typically occurs like this:

  • First, your dentist will place a titanium post into your jawbone. This replaces to the tooth’s root.
  • The post will fuse with your jawbone as your mouth heals, just like a root would. This keeps you from dealing with serious dental issues that occur with other treatments for missing teeth, like dentures. The osseointegration process could take weeks or even months.
  • When your dentist sees that the osseointegration, or fusion, between your jawbone and the implant is successful, he or she will secure an abutment to the top of your dental implant. This abutment will connect the replacement tooth to the post.
  • Finally, the replacement front tooth will be secured to the abutment, and you will have a full set of front teeth again.

If you have a missing front tooth, you should seriously consider dental implant surgery to prevent any further issues from occurring. Our dentists at Water Tower Dental Care are dental implant experts. Contact us today to find out more about how a dental implant can help your specific case of missing teeth!

How to Avoid Common Problems with Dental Implants

January 21st, 2016

How to Avoid Common Problems with Dental ImplantsOver the years, dental implant surgery has become better and better. In fact, the procedure currently has about a 95% success rate, according to Oral and Maxillofacial Surgeons. Still, like with any surgery, there are some problems that can occur. Thankfully, almost all of these problems are pretty rare and can be avoided with planning and proper care. Here are five of the most common problems with dental implants and how you can avoid them.

Dental Implants Don’t Properly Bond to Jawbone

One of the most common issues by far is that a dental implant won’t properly bond to the jawbone after surgery. Over the few months after your surgery, your dental implant should begin to securely connect with your jawbone. This process is technically known as osseointegration. If the implant falls out, is loose or too much bone loss occurs, then the implant has failed.
An implant may fail to bond to your jawbone for a variety of reasons, including the following. We will go into more details about the specific dental implant problems below throughout the rest of the article.

  • The implant may have been placed in the wrong position
  • You don’t have enough bone density or volume
  • You have damaged structures around your implant
  • Your implant gets cracked or fractured
  • You receive a sudden blow or injury to your face
  • You are a smoker

Infection

If you develop an infection caused by your dental implant, you may need to have it removed. Infections can be caused by bad hygiene during or after your implant surgery. This is why it’s very important to go to a practiced and proven periodontist or surgeon for your surgery. You also need to make sure to practice proper dental hygiene habits every day. Otherwise, you can easily develop an infection. If you have thin gums, are a smoker, or have diabetes, you may be at more risk of developing an infection.

Smoking

One of the top causes of implant failure that we see at Water Tower Dental Care is smoking. Though many smokers have successful implant surgeries, failure rates are significantly higher in smokers than nonsmokers. Smoking increases your chances of getting an infection, improper bonding between your jawbone and implant, and developing peri-implantitis, a destructive disease the causes inflammation around your gums and the bone surrounding your dental implant. Learn more about how smoking negatively impacts dental implants here.

Nerve Damage

Nerve damage after dental implant surgery can be caused by an inexperienced periodontist or dentist. If an implant is placed too close to your nerve, it can cause permanent or temporary nerve damage. This can lead to numbing, tingling, or chronic pain in your tongue, lips, gums, cheek or chin.

Sinus and Bone Density Issues

Some patients may have problems with dental implants because of their sinuses or jawbone. If sinuses are present when you’re getting an implant in the upper row of your teeth, you may develop an infection. Thankfully, this is an easy issue to fix. A dentist should be able to recognize a sinus issue easily, and it can be fixed with surgery. You should always let your dentist know if you have sinus problems before dental implant surgery.
A strong jawbone with enough volume is key to a successful dental implant. If your jawbone doesn’t have enough mass, a sinus lift or bone graft may be performed to improve bone density, volume and space. You need enough bone to support and bond with an implant.

Damage to Surrounding Tissues

Since your implant will penetrate your gums, it’s inevitable that tissue will be damaged when you receive dental implants. However, this damage typically heals quickly and without complications. If you notice excessive bleeding and pain during your first few days after surgery, or if the bleeding and pain continues after a few days, you should let your dentist know. There may be a problem.

Dental Implant Crack

At Water Tower Dental Care, we work with a titanium post and realistic dental crown to make up your dental implant. These dental implants are incredibly strong. But even so, the implants can be cracked or fractured if you are hit hard in the face or if you grind your teeth a lot over a long period of time. This is very rare, but it’s possible. Once the implant breaks, a new one will need to be inserted.
Interested in receiving a dental implant? Contact Water Tower Dental Care today! We work with talented and skilled periodontists to ensure you’re getting the best service possible.

Smoking and Dental Implants: The Negative Effects

May 7th, 2015

Smoking and Dental Implants: The Negative Effects When your teeth fail you, the last thing you want is your dental implant failing you as well because of smoking. Dental implants work as a lifelike substitute for missing teeth. They are the only restorative dental solution that stops jawbone loss and gives you the full set of teeth you need to retain good oral health.
Fortunately, many smokers have successful dental implant treatments. However, smoking has been found to significantly increase the chance of dental implant failure. Let’s take a closer look at how smoking affects dental implants so that you can have a successful experience with this tooth replacement procedure.

Implants May Not Properly Bond With Jawbone

Right off the bat, smoking regularly before you receive implants may make it harder for the implant to fully fuse with your jawbone. Cigarette, pipe and cigar smoking has been found to cause jawbone loss, severe periodontal (gum and bone) disease and delayed wound healing, according to the College of Dental Hygienists of Ontario. The tobacco you consume while smoking limits blood flow to your gums, reducing the oxygen and nutrients they need to stay healthy, recover and fight off bacterial infection.
If your jawbone, gum tissue, and muscle surrounding the implant aren’t healthy and cannot properly heal after you’ve received the implant, your implant may not be able to fuse with your jaw bone. The soft tissues of your gums typically take a few weeks to heal around the implant, and the jaw takes months to osseointegrate with the implant.
Studies have found that patients who smoked during the implant placement surgery had a higher rate of early implant failure than nonsmokers. This makes sense, as smoking negatively affects the health of your jaw and gums. It’s best to avoid smoking during the early stages of your implant surgery to allow the implant to fully osseointegrate correctly. Otherwise, your implant may need to be taken out soon after your surgery.

Increases Chances of Infection

Like all surgeries, there is a risk of infection with dental implants. But the risk is very low for patients with great oral health and a strong immune system. Smokers, on the other hand, are more likely to develop an infection after they receive implants because it’s harder for their gums and jaw to fully recover. If patients smoke soon after their surgery, their wounds are also exposed to chemicals, making infection more likely. While antibiotics can be used to treat infection, smoking can reduce the effectiveness of these drugs.

Greater Risk of Developing Peri-Implantitis

Smoking doesn’t just affect the success of your dental implants in the early stages of healing. Peri-implantitis can occur years after your dental implant surgery and often causes implant failure. Peri-implantitis is an infectious disease that results in inflammation around gums and bone surrounding a dental implant. If left untreated, it can lead to progressive bone loss around the implant and eventual implant failure. Fortunately, peri-implantitis is rare. But smoking has been found to increase your risk of developing the disease. Smokers are also especially susceptible to bone loss.

How to Increase Your Chances of Dental Implant Success As a Smoker

Don’t worry, smokers. It’s not all bad news. While smoking does increase the chance that your dental implant won’t last long, many patients who smoke have successful treatments with implants that last their entire lives. It’s also important to note that ex-smokers who have not smoked in years increase their success rate. The best thing you can do for yourself and your dental implant is to stop smoking. Countless studies have noted that patients should stop smoking to decrease their risk of implant failure. You can find a variety of resources designed to help you quit smoking here.
Interested in getting dental implants in Chicago? Receiving dental implants from Chicago’s top cosmetic dentistry, Water Tower Dental Care, is a smart investment in your smile’s longevity. If you’re a smoker or ex-smoker, we can gauge the health of your mouth before you receive implants and talk to you about possible treatment plans. Request an appointment with us today!

Process of a Dental Implant

June 19th, 2014

Dental ImplantLosing a tooth either by accident or through declining oral health can be a tough experience. It can affect your confidence and well-being along with your oral health. Dental implants are a great way to keep your smile looking great and prevent further damage to your mouth. Of course, dental implants aren’t as simple as one would hope and there are several aspects to receiving an implant. However, if you practice good oral hygiene and are in the hands of an experienced dentist, you should have no problem rebuilding an excellent smile.

A proper dental implant takes several weeks to resolve. The first step is to remove the infected, rotted tooth or to clean the area where a tooth has been lost. Next, if the gums are healthy, your dentist will surgically place a cylinder post made of titanium into your jawbone. This is known as the anchor and acts as the root of the tooth. It’s especially important, if you do lose a tooth, to try and receive the anchor as soon as possible so the bone can adhere properly to the post. This process is known as osseointegration. If the jawbone does not have a post to adhere to, it can naturally shrink back. Within a year of not having a tooth, a jawbone can shrink by 40% in the area of the missing tooth, and make it harder to place the anchor into the jaw.
Proccess of a Dental ImplantIt can take two weeks to a month for your jawbone to osseointegrate properly with the anchor. During that time, most patients are given a denture or temporary bridge to replace the missing tooth. Once the anchor is ready, the dentist will add a small connector to the anchor known as an abutment. The abutment connects the anchor to the replacement tooth
Just like a veneer for a chipped tooth, replacement teeth are measured and created to fit precisely in your mouth and to look as natural as possible. They are also color corrected to match the rest of your teeth to give a natural look that no one can tell the difference of.
Unlike replacing a vital organ, there is not much risk with the body “rejecting” the dental implant. As you adhere straight to bone without the need of tissue matching or blood typing, the risk is very minimal when it comes to a dental implant. Success is typically not measured by the implant accepting or rejecting bone, but placed more on the patient’s ability to practice good oral hygiene. Visiting your dentist after the procedure and making sure that gum tissue is healthy is the best way to keep your dental implant in top condition.
There are benefits to replacing a missing tooth as well. Most importantly it helps stop the loss of jawbone in your mouth and can help retain healthy bone structure that’s imperative for overall oral health. Infections in the area of the missing tooth can also occur more frequently than if a dental implant is secured to the area.
Candidates for dental implants are patients with healthy teeth and gums who practice proper oral hygiene. Typically if your teeth and gums are healthy enough to undergo bridgework or tooth extractions, they should be healthy enough to receive an implant. However, each patient's ability to receive implants and the time it will take for the jawbone to adhere to the anchor varies and an experienced dentist should know the exact steps needed to help you receive the best smile possible.
If you have any more questions about dental implants or are considering one for yourself, don’t hesitate to contact Water Tower Dental, Chicago’s highest rated dental office.