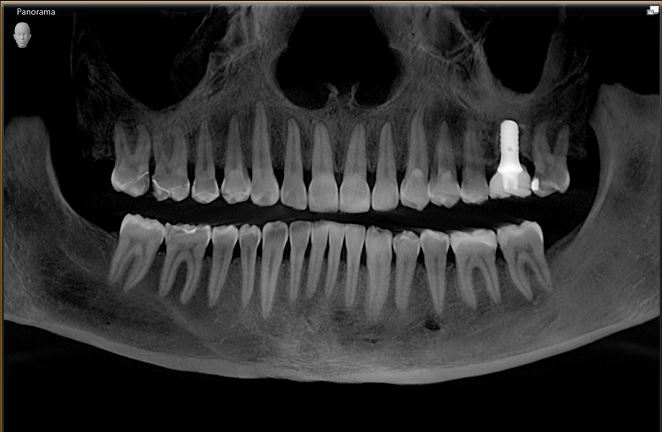
3D imaging, or Cone Beam Computed Tomography (CBCT), is a medical imaging technique that uses X-rays to create a 3D rendering of the maxillary and mandibular jaws, including the TMJ in most cases. For the first time, we are able to see bone, teeth, and sinuses in three different planes.







