
What is Gum Disease?
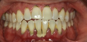
Gum disease is also called periodontal disease. There are two forms of gum disease: gingivitis and periodontitis. Gingivitis is a mild form of gum disease that isn’t a serious issue. But unfortunately, it can lead to the more serious periodontitis if left untreated. When you have gingivitis, plaque causes your gums to turn red, become swollen and bleed. You may not even notice that you have gingivitis since it can cause little or no discomfort. Thankfully, it is reversible. That’s why it’s important to take care of your teeth daily and see your dentist regularly.
Periodontitis is really bad news. This more serious type of gum disease occurs when plaque grows below your gum line. The toxins from bacteria in your plaque begin to irritate your gums. These toxins cause your mouth to attack itself, leading your gums to work themselves away from teeth. The holes that are left become infected and your gums and bone begin decomposing.
This can eventually lead to tooth loss and serious bone loss. Periodontitis has also been linked to cardiovascular disease, stroke, diabetes, low birth weight and preterm birth babies, pulmonary diseases, obesity, and pancreatic cancer.
Signs You May Need Gum Disease Treatment Therapy
- Gums bleeding while you are eating, brushing or flossing
- Receding gums or gums that are pulling away from your teeth
- Sores growing in your mouth
- Loose teeth
- Teeth that are separating from your gums
- Bad breath that doesn’t go away
- Puss in between your gums and teeth
- Teeth that no longer fit together the same way
![]() |
![]() |
How Gum Disease Treatment Therapy Works
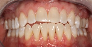
If you have gingivitis, you don’t need gum disease treatment therapy. Simply brushing and flossing at home, along with an effective treatment from a dental professional, can reverse gingivitis and keep you from getting periodontitis.
Once you get into the dangerous territory of periodontitis, you may need gum disease treatment therapy. At Water Tower Dental Care, our gum disease specialist treats periodontitis with non-surgical and surgical techniques. We do this to alleviate gum disease and reattach your gum and teeth. We may use both traditional hand instrumentation, ultrasonic scaling and diode lasers. We recommend diode lasers to reduce and eliminate bacteria, prevent the spread of infection and to allow for a more comfortable procedure.
Gum disease treatment therapy helps to stop periodontitis from developing and reverses it. It’s imperative that you get treated as soon as possible before you run into serious tooth and bone issues. Contact us to find out if you have gum disease and how you can stop it. We want to protect your mouth from the perils of plaque.


