
A proper dental implant takes several weeks to resolve. The first step is to remove the infected, rotted tooth or to clean the area where a tooth has been lost. Next, if the gums are healthy, your dentist will surgically place a cylinder post made of titanium into your jawbone. This is known as the anchor and acts as the root of the tooth. It’s especially important, if you do lose a tooth, to try and receive the anchor as soon as possible so the bone can adhere properly to the post. This process is known as osseointegration. If the jawbone does not have a post to adhere to, it can naturally shrink back. Within a year of not having a tooth, a jawbone can shrink by 40% in the area of the missing tooth, and make it harder to place the anchor into the jaw.

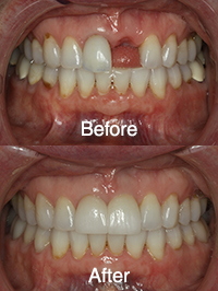
Just like a veneer for a chipped tooth, replacement teeth are measured and created to fit precisely in your mouth and to look as natural as possible. They are also color corrected to match the rest of your teeth to give a natural look that no one can tell the difference of.
Unlike replacing a vital organ, there is not much risk with the body “rejecting” the dental implant. As you adhere straight to bone without the need of tissue matching or blood typing, the risk is very minimal when it comes to a dental implant. Success is typically not measured by the implant accepting or rejecting bone, but placed more on the patient’s ability to practice good oral hygiene. Visiting your dentist after the procedure and making sure that gum tissue is healthy is the best way to keep your dental implant in top condition.
There are benefits to replacing a missing tooth as well. Most importantly it helps stop the loss of jawbone in your mouth and can help retain healthy bone structure that’s imperative for overall oral health. Infections in the area of the missing tooth can also occur more frequently than if a dental implant is secured to the area.
Candidates for dental implants are patients with healthy teeth and gums who practice proper oral hygiene. Typically if your teeth and gums are healthy enough to undergo bridgework or tooth extractions, they should be healthy enough to receive an implant. However, each patient’s ability to receive implants and the time it will take for the jawbone to adhere to the anchor varies and an experienced dentist should know the exact steps needed to help you receive the best smile possible.
If you have any more questions about dental implants or are considering one for yourself, don’t hesitate to contact Water Tower Dental, Chicago’s highest rated dental office.
