How Cosmetic Dentistry Can Lengthen Short Teeth​

short teethAre your teeth proportionately-sized when you smile - or do they appear smaller or square? If so, you might have a condition known as “short teeth.” It can be caused by a wide variety of factors such as: excessive wear and tear, genetics, or another condition known as a “gummy smile.”

Whatever the cause, short teeth are aesthetically displeasing to most people. When you smile, the overall length of your teeth appears “off”, which can be the focal point for people who have just met you. We’re going to look at the various causes of short teeth, problems that can arise because of them, and several methods that a good cosmetic dentist can use to fix them.

What Causes Short Teeth?

There are several things that can cause short teeth. Severe wear-and-tear and chipping can occur over an elongated period of time is one of the more common ones. It happens so subtly that it’s oftentimes not noticeable until the tooth goes down to the 50% mark. Generally speaking, older adults tend to be at-risk for short teeth due to wear-and-tear over their lifetimes.

Sometimes the teeth don’t get shorter – the gums get longer. A “gummy smile” is one of many dental conditions that can cause the gums to cover the teeth, thereby making them look shorter than they really are.

Some people are born with shorter looking teeth. The problem with this is that it’s only an issue if it causes other medical or dental issues – or the person deems it to be an aesthetic problem. If someone has short teeth and they’re not experiencing any medical or dental issues and they’re 100% content with the way they look, then it really isn’t a problem.

Other times the diet or lifestyle is to blame. Chemical factors such as acidic damage caused by acidic foods and drinks can wear away at the enamel and teeth. If the patient has a history of drug abuse, that too can cause the teeth to wear down or fall out prematurely.

What sort of problems can arise if left untreated?

Aside from the obvious aesthetic issues, short teeth can lead to several other documented medical conditions such as TMJ tiredness, headaches, and facial pain. This is due to a bad bite characterized by shortened teeth. If left unchecked, the teeth can wear down to the point where the raw nerve is exposed, thereby causing intense pain from toothaches.

For some people, the above symptoms do not manifest themselves in any serious way. However, a bad bite due to short teeth can literally leave a person looking much older than they really are. In worst case scenarios, they may experience premature aging in the soft tissue in their necks and faces which can add 10 years or more to their appearance.

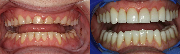
short teeth before after

What Treatments Exist for Short Teeth?

Fortunately, there are several treatments for people who have short teeth. You will first need to visit a qualified cosmetic dentist office such as Water Tower Dental Care. The dentist will look at the cause of your short teeth and make a recommendation based upon what will look best as well as your budget.

Here are a few treatment options that exist for people who have short teeth:

Porcelain Veneers – Veneers are one of the most common procedures that cosmetic dentists use to treat people with short teeth. They’re very easy to maintain and can transform your smile to the way you want it to look. Veneers are custom-made to each tooth and are non-reversible, so make sure to ask the dentist for more information.

Porcelain Crowns – Crowns are another viable option for people who have weak or damaged teeth.

Dental Bonding – In this procedure the dentist applies a composite resin to the front of the tooth prior to hardening it with a curing light. It offers many of the same results as porcelain veneers but is a better option if you have suffered enamel erosion.

Gum Contouring – If excessive gum tissue is the cause of your short teeth then gum contouring can help fix it. There are many ways to go about gum contouring, but most dentists use an advanced laser diode to trim away a very small amount of gum tissue. This will help reveal your teeth and make them look longer than they did prior.

Will Dental Insurance Cover Short Teeth?

Whether or not your dental insurance will cover short teeth will be dependent upon your plan. If you’re getting them fixed strictly for cosmetic reasons, the procedure will probably not be covered. However, if a valid medical reason exists to get the procedure done, then you might be covered.

The best way to find out for sure is to make an appointment with a cosmetic dentist and have them give you a diagnosis and treatment plan. Sometimes the secretary at the front desk will be able to call your insurance company to see if they will cover the treatment plan created by the dentist.

Cosmetic Dentistry in Chicago

If you suffer from short teeth, are experiencing dental issues because of them, or are just not happy with the way they look, give us a call at (312) 787-2131. At Water Tower Dental Care, we specialize in cosmetic dentistry and can help fix your teeth, so you can regain the confidence to smile once again.